当前位置:首页 > 找对专家看对科 >

上海瑞金医院伽玛刀中心

2023-11-15   浏览量:  文章来源: bb电子官网登录

核心提示:瑞金医院是享誉全国,上海综合排名第一的大型公立三甲医院,瑞金医院也是上海市最早拥有瑞典Leksell Icon伽玛刀(现已升级为最新一代Leksell Icon伽玛刀)的公立三甲医院。

  一、发展历程

  2009年,上海交通大学医学院附属瑞金医院购入世界上最先进的瑞典产Leksell Perfexion伽玛刀,并成立伽玛刀中心。经过严格的环评,设备安装,设备调试后,2012年伽玛刀中心开始治疗病人。成立之初,伽玛刀中心作为一个临床治疗组隶属于神经外科二病区。拥有专职伽玛刀临床医师2人,物理师2人,高级职称2人,中级职称2人。

  二、伽玛刀中心的优势:

  1、较高的起点:瑞金医院是享誉全国,上海综合排名第一的大型公立三甲医院,瑞金医院也是上海市最早拥有瑞典Leksell Icon伽玛刀(现已升级为最新一代Leksell Icon伽玛刀)的公立三甲医院。

  2、强大的团队:伽玛刀中心为瑞金医院神经外科一个临床治疗组,依托神经外科及中枢神经系统多学科会诊中心强大的专家团队。

  3、规范的诊疗:所有患者都需要收治入院,按照神经外科常规手术的要求进行术前准备、术前讨论、规范治疗及定期随访管理。

  4、完善的保障:瑞金医院伽玛刀治疗项目已纳入上海市城镇医保报销目录,外地患者可以享受异地医保。

  2019年因医院发展需要,伽玛刀中心整体由32号楼一楼搬迁至3号楼一楼,患者就医环境大大改善。

  三、中心特色

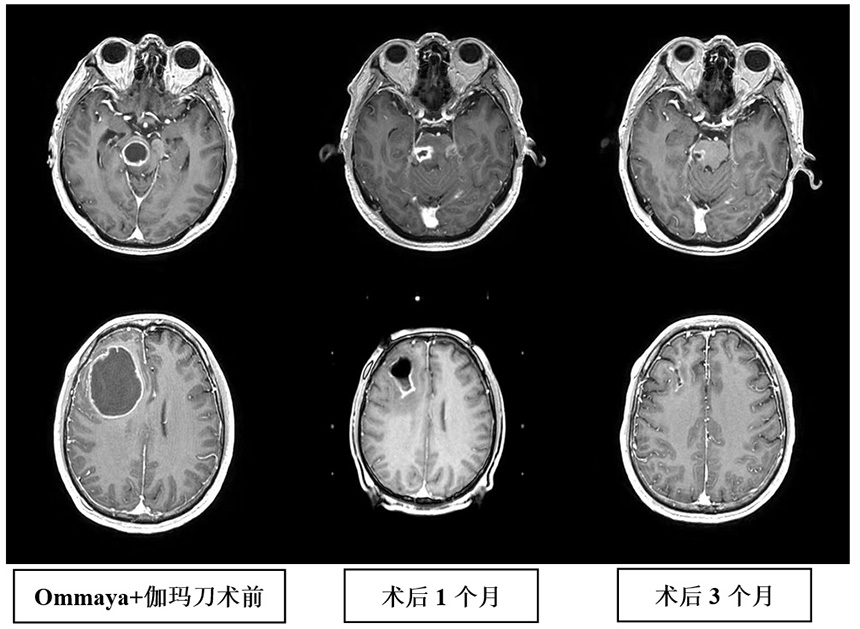
  1、伽玛刀联合Ommaya囊穿刺引流术治疗巨大囊性脑转移瘤。穿刺引流可迅速改善占位效应,减少神经功能损害,结合伽玛刀治疗,提高病灶的局控率,当囊性病灶位于脑干等重要功能部位时,治疗效果更加明显。2018年12月,我们在上海脑转移瘤高峰论坛分享了此项经验。

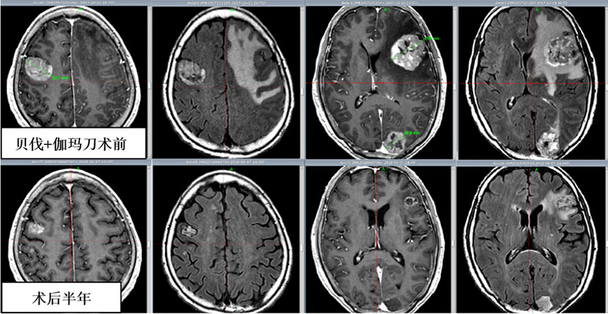
  2、伽玛刀联合贝伐珠单抗治疗多发巨大脑转移瘤。经5年使用观察,该方法在提高病灶局控率、延长患者生存期的同时快速、显著降低了神经功能的损害,提高患者生存质量,为多发巨大脑转移瘤临床治疗的新思路。2019年神经外科分会肿瘤学组会议上我们分享此经验。

  3、伽玛刀治疗眶内球后占位,保全视力视野、改善突眼症状。球后占位患者常伴有突眼、视力下降及视野缺损,伽玛刀分割治疗可快速缓解突眼症状,减轻视神经压迫,再逐步“吃掉”残余肿瘤。该方法是眶内球后占位最有效的治疗手段之一。

  四、科研教学

  在医院及科室领导的大力支持下,伽玛刀中心在医教研方面稳步发展。结合专业特点,中心共申请实用新型专利4项。

  科研方面,中心科研团队主要从事脑胶质瘤伽玛刀治疗的临床和基础研究。中心目前共申请课题10项,发表SCI论文30余篇。教学方面,指导研究生3名,首届毕业生获上海交通大学“优秀毕业生”称号。

  五、专家介绍

  潘斯俭

  主任医师,教授,神经外科学博士,硕士生导师。

  主持伽玛刀中心日常诊疗工作。

  师从我国著名神经外科专家孙青芳教授,孙伯民教授,卞留贯教授及沈建康教授,具有较强的临床和科研能力。2000年开始从事神经外科工作,为国内较早从事伽玛刀治疗工作的学者之一,具有丰富的伽玛刀临床治疗经验。

  曾先后前往瑞典-斯德哥尔摩全球伽玛刀培训中心及美国-克利夫兰医学中心访问学习。参加了2010年希腊-雅典第15届,2012年澳大利亚-悉尼第16届,2014年美国-纽约第17届,2016年荷兰-阿姆斯特丹第18届,及2018年阿联酋迪拜国际伽玛刀研讨会,以及2019年巴西里约热内卢第14届国际立体定向放射外科学大会。

  社会兼职:世界华人神经外科医师协会放射外科专家委员会常委;中国医师协会放射外科专家委员会委员;上海医学会神经外科分会青年委员会副主委;上海医学会神经外科分会功能学组副组长;主持国家自然科学基金、上海市科委及卫生局课题10项,发表SCI收录文章30余篇。

  临床特长:1、颅内肿瘤、脑血管畸形及功能性疾病的伽玛刀治疗;2、癫痫及颅内肿瘤的外科手术治疗。

  专家门诊:周一上午,周三上午。

  胡良运

  伽玛刀物理师,副主任技师。

  负责伽玛刀手术定位、治疗方案设计及其质量控制和质量保证。

  从事伽玛刀治疗工作20年,申请专利2项,参与课题3项,发表论文15篇,其中SCI论文7篇。

  研究方向:中枢神经系统肿瘤的基础研究及伽玛刀治疗。

  社会兼职:世界华人神经外科医师协会放射外科专家委员会委员,亚洲立体定向与功能神经外科协会会员,中国生物医学工程学会会员。

  执行主编/尹学兵

  值班编辑/七   七

  文中图片均获版权方授权

?